

Her açıdan en yüksek dansite değerine sahip voksellerin birleştirilerek iki boyutlu görüntüye aktarılması ile oluşturulur. Vaskuler yapıların görüntülenmesinde oldukça sık olarak kullanılan MIP görüntülemenin dezavantajı daha düşük dansiteye sahip voksellerin baskılamasıdır.
Bu nedenle yumuşak plaklar, lümendeki kontrast madde tarafından; lümen içi kontrast madde de kalsifiye plaklar tarafından baskılanır ve stenoz oranı olduğundan daha fazla yorumlanır. Toraks BT’de vaskuler yapıların görüntülenmesi dışında MIP görüntülemenin diğer en önemli avantajı ise akciğer nodüllerinin saptanmasını kolaylaştırmasıdır.
Transvers görüntüler ile karşılaştırıldığında MIP görüntüler ile daha fazla sayıda nodül saptandığı ve nodüllerin dağılımının daha iyi gösterildiği anlaşılmıştır.
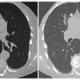
(A) Maximum Intensity Projection görüntülerde nodüllerin daha göze çarptığı ve nodül saptanmasını kolaylaştırdığını görmekteyiz. (B) Minimum Intensity Projection görüntülerde ise hava hapsi alanları daha belirgin olarak izlenmektedir.