

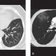
Her açıdan en düşük dansite değerine sahip voksellerin birleştirilerek iki boyutlu görüntüye aktarılması ile oluşturulur. Sarus PACS MinIP aracı ile sadece hava dansitesine eşit ya da yakın düşük dansitedeki dokuları seçerek görüntü oluşturduğundan, hava yolları ve akciğer parankiminin değerlendirilmesini sağlar.
İnspiriyum fazında elde olunan toraks BT’de normal parankim ile düşük dansiteli akciğer parankimi arasındaki fark bazen net olarak anlaşılamayabilir. Sarus PACS MinIP görüntüleri bu farkı ve mozaik atenuasyonu daha belirgin hale getirir.
Böylece kronik obstrüktif akciğer hastalıkları, hipersensitivite pnömonisi ve interstisyel akciğer hastalıkları tanısında radyoloğa yardımcı olur.